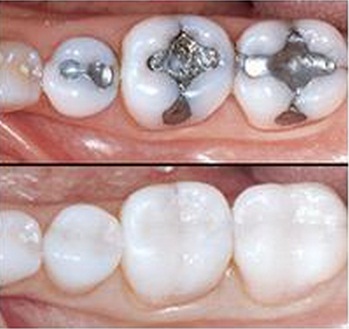
Ceramic Inlay
In dentistry, an inlay is usually an indirect restoration (filling) consisting of a solid substance (as gold, porcelain or less often a cured composite resin) fitted to a cavity in a tooth and cemented into place. This technique involves fabricating the restoration outside of the mouth using the dental impressions of the prepared tooth, rather than placing a soft filling into the prepared tooth before the material sets hard. An onlay is the same as an inlay, except that it incorporates a replacement for a tooth cusp by covering the area where the missing cusp would be. Crowns are onlays which completely cover all surfaces of a tooth.
Sometimes, a tooth is planned to be restored with an intracoronal restoration, but the decay or fracture is so extensive that a direct restoration, such as amalgam or composite, would compromise the structural integrity of the restored tooth or provide substandard opposition to occlusal (i.e., biting) forces. In such situations, an indirect gold or porcelain inlay restoration may be indicated.
