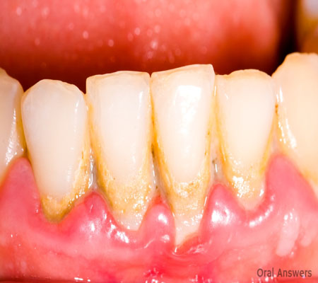
Gum (Periodontal Disease)
Periodontal disease, also called gum disease, is an infection of the gums and bones that hold the teeth in place. If left untreated, gum disease can cause tooth loss. The good news is, gum disease is easy to prevent with proper dental hygiene and regular dental appointments.
Warning Signs Of Periodontitis Include :
Bleeding gums.
Painful n swollen gums.
Gums that have pulled away from the teeth..
Pus between teeth and gums.
Persistent bad breath or bad taste..
Permanent teeth that are loose, separating or changing position.
