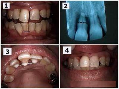
Treatment Of Badly Broken Tooth
If you have broken your tooth, try to find the fragment, store it in milk and see a dentist as soon as possible during working hours. The dentist may be able to glue the fragment back on to the tooth.
Don't worry if you can’t find the fragment, your dentist will be able to use a tooth-coloured filling material to build your tooth up. If part of a back tooth is broken, it may either need a filling or a crown (also known as a cap).
If the tooth is badly broken and the nerves are exposed, it may be a little sensitive and may even need root canal treatment. This involves removing the nerve and placing a root filling.
